Welcome!


我認為“一位醫師最大的價值,在於創造了多少健康的身體、健康的思想和健康的心靈。”
曾經有前輩提醒我,說明醫療要像是對十歲兒童說話那樣簡單,直到現在我仍謹記在心。
保健知識
老人牙齒掉光免煩惱:全口重建方案、補助與照護全攻略
隨著年齡增長,牙齒掉落是許多長者面臨的困擾。不僅影響咀嚼功能,更可能降低生活品質。別擔心,本文將為您詳細解析老人牙齒掉光解決方法,提供全方位的重建方案。 針對缺牙問題,主要有三種解決途徑: 活動假牙:…
缺牙怎麼辦?牙醫專家解析影響、治療與預防全攻略
缺牙不僅影響您的笑容,更可能對整體健康造成連鎖反應。從牙齒位移、咬合不正,到影響發音與消化,甚至增加心血管疾病的風險,都與缺牙息息相關。及時填補缺牙,是守護健康的重要一步。 面對缺牙,您有哪些選擇?目…
全口假牙全攻略:種類、流程、優缺點與材質選擇,找回自信笑容
牙齒的缺失不僅影響美觀,更可能降低咀嚼功能、影響發音,進而影響生活品質。全口假牙作為一種牙科修復方案,為全口或大範圍缺牙的患者帶來了重拾自信笑容的 立即諮詢專業牙醫,客製您的全口假牙方案! 針對牙齒缺…
全口重建
All-on-4 植牙的潛在風險解析:預防與應對策略全解析
All-on-4 植牙是一種為全口無牙患者設計的革命性解決方案,它利用四顆植體支撐整排假牙,實現快速且相對簡便的重建。儘管 All-on-4 手術成功率高,但仍需正視其潛在的All on 4 失敗風險…
全口重建會痛嗎?專家解析術後疼痛管理與舒眠麻醉的關鍵
考慮接受全口重建,最擔心的莫過於「全口重建會痛嗎?」這個問題。許多人對於手術的疼痛感感到焦慮。實際上,手術過程中由於麻醉的施用,患者通常不會感受到疼痛。但麻醉藥效過後,術後的不適感確實存在,像是腫脹、…
植牙知識
植牙術後全攻略:掌握關鍵護理,確保植牙長期穩固與健康
植牙手術是重建牙齒、恢復咀嚼功能和美觀的重要途徑。然而,植牙的成功並非僅僅依賴於手術本身,術後的妥善照護同樣至關重要。許多患者在植牙後常常感到困惑,不知道該如何正確地護理傷口,以確保植牙的長期穩固與健…
All-on-4 植牙的潛在風險解析:預防與應對策略全解析
All-on-4 植牙是一種為全口無牙患者設計的革命性解決方案,它利用四顆植體支撐整排假牙,實現快速且相對簡便的重建。儘管 All-on-4 手術成功率高,但仍需正視其潛在的All on 4 失敗風險…
全口重建會痛嗎?專家解析術後疼痛管理與舒眠麻醉的關鍵
考慮接受全口重建,最擔心的莫過於「全口重建會痛嗎?」這個問題。許多人對於手術的疼痛感感到焦慮。實際上,手術過程中由於麻醉的施用,患者通常不會感受到疼痛。但麻醉藥效過後,術後的不適感確實存在,像是腫脹、…
病例研究
金門客人全口重建
【醫師見證】 來自金門的廟公,走過千里找回笑容與尊嚴的全口重建之路 在我執業多年的牙醫生涯中,見過許多患者從不同地方來到診所,但這位來自金門的師父,讓我特別感動。 金門客人全口重建以後,整個外觀看不出…
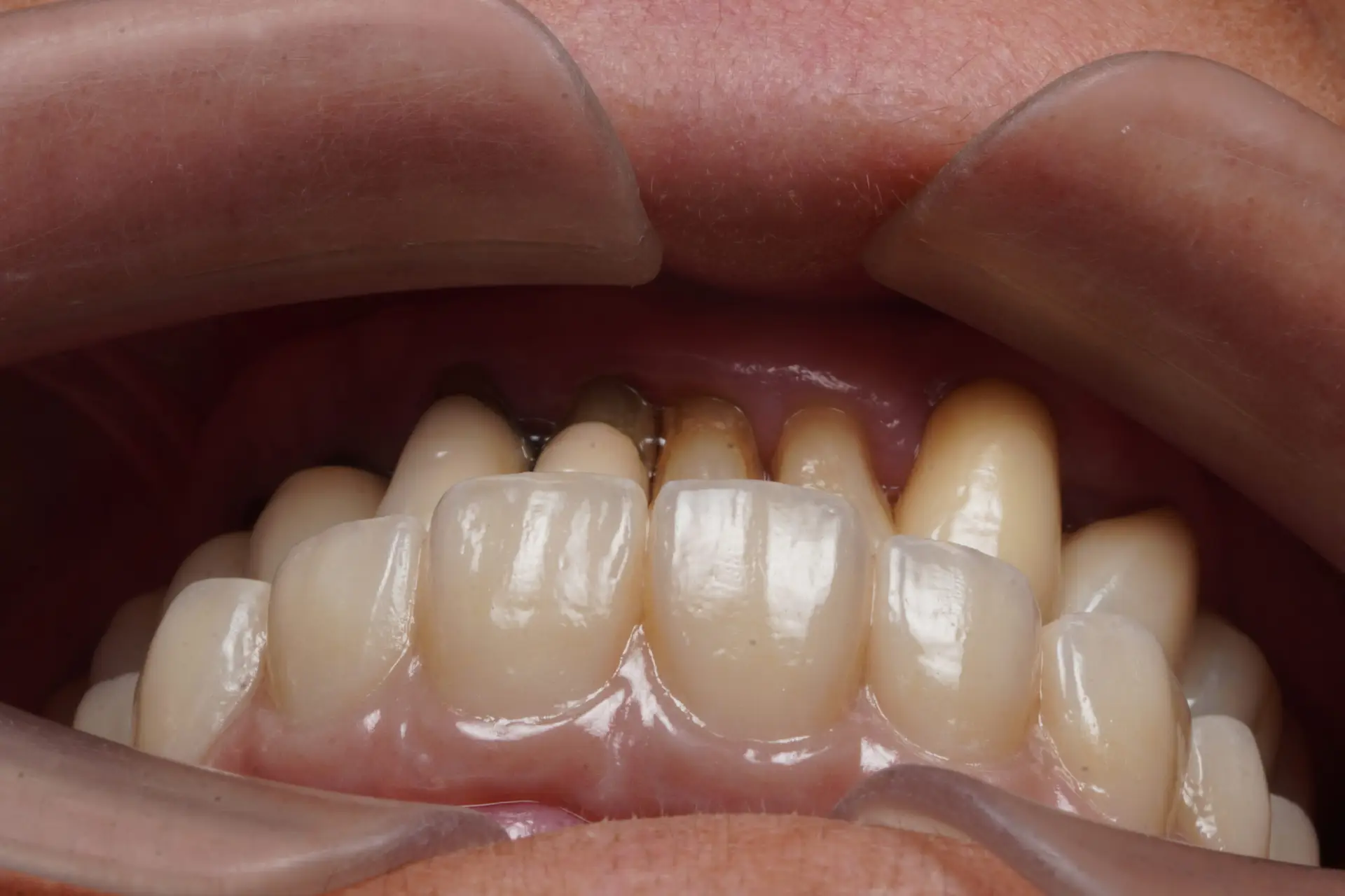
全口重建後的改變——解析患者的蛻變
許多嚴重缺牙的患者,剛踏入診間時,往往帶著不安與遲疑。他們擔心外觀的改變,害怕手術的過程,更對未來能否適應新牙感到焦慮。然而,作為一名專業的植牙醫師,我見證過無數患者透過全口重建找回健康與自信,他們的…
全口重建改善臉型
這位阿姨前來求診的時候,活動假牙已經不堪使用,而且頻繁出現疼痛,難以進食。 口腔中的牙齒都已經移位,而且上下難以穩定的對合,屬於咬合喪失的治療類型。 經歷了半年多的手術、臨時假牙調整,最終才確定製作全…

案例分享1
數位設計

案例分享2
全口All on 4

案例分享3
仿真全瓷冠

案例分享4
微創植牙(不翻瓣)

案例分享5
All On 4假牙微笑設計

案例分享6
2017第一例All on 4
